歯並びの矯正やセラミックスによる歯の修復
患者様によってはマウスピースを付けていると症状が改善してもマウスピースを外すとまた症状が出てしまう場合がります。
そのような場合は、K-7で決定したあごの位置を、自分の歯でかめるようにする必要が出てきます。
そのような場合は、2つの方法をご紹介します。。
一つは、子供さんがやっているようにワイヤーやゴムを使用して直接歯並びを矯正する方法です。矯正の治療をお勧めするのは、ご自分の歯に虫歯やかぶせものがなく、ほとんど自然の歯がそろっている方の場合です。
矯正の装置を1~2年つけていただくことになりますが、もともとの歯並びのせいで咬み合せが悪いのですから、矯正の治療はもっとも理にかなっているともいえます。
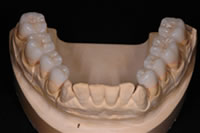
もう一つは、ご自分の歯に入っている被せものを作り変えたり、新しくセラミックスの材料を歯に接着して噛み合わせを新しくしていくことです。
これは、すでに不良な被せものが多く入っている方には、歯自体の治療にもなりますので、一石二鳥といえます。
通常は下の奥歯の左右8本に被せものを入れることで、顎の位置を改善することができます。
また、治療期間が1~3か月程度で比較的短期間で終了することが可能となります。
治療費について
かみ合わせの不正による顎のズレを矯正するマウスピースは、健康保険がききませんので、顎顎頭蓋機能矯正費として210,000円(消費税込)かかります。
また、必要に応じてリサーフェイスの費用21,000円(1回、消費税込)がかかります。
歯並びの矯正費用は、程度によって違ってきますが、一般の歯並び矯正費用の300,000円~600,000円にプラスして、顎頭蓋機能矯正費の200,000円が加算されます。
セラミックによる修復治療の場合は、通常の修復治療費(セラミックス冠100,000~)×8本分に加えて、顎頭蓋機能矯正費の200,000円が加算されます。
患者さま満足度調査にご協力ください。
少しでも患者さんにとってより良い歯科医療を提供するため、
第三者機関に依頼して患者さま満足度調査を行っています。
率直なご意見をいただき、改善すべき点は真摯に受け止めていきたいと思っております。
当院には患者さまの個人情報は一切伝えられませんので、
是非、暖かいお言葉、おしかりのお言葉、たくさんお寄せください。





