Archive for the ‘治療体験談’ Category

開口障害でお口が開かない患者さんの治療例

木曜日, 7月 28th, 2011

先日の顎関節症の治療例を御紹介します。
お口が開けにくいということで、2か月前に来院されました。
調べてみると写真のように指が1本半しか入らないくらいでした。いわゆる開口障害というやつです。無理に開けようとすると顎関節に痛みが出てしまいます。
原因は、顎関節と側頭関節窩の間にある関節円板という軟骨の位置が前方へ転移してしまったために、顎を開こうとすると関節の骨が軟骨にぶつかり、痛みや開口制限が出てしまうということです。
ほかに肩こりと頸のコリが強いとのことでしたが、原因はもともと歯の咬み合せが筋肉、骨格のバランスからいうとズレていて、それに頬杖や片側咬み、固いものを無理して咬んだなどのきっかけで、症状が出てしまったと考えられます。
顎位置のズレの検査の前に、マニュピレーション「徒手整復」により、円板の引っ掛かりを取ってあげることで、開口障害を改善します。
K7による検査で、正しいあごの位置を調べ、その正しい位置で咬み合せができるようにオーソシスといいうマウスピースを装着しました。
その後、2か月経過を見ていますが、開口障害、顎関節の痛みもなく、肩こりもなくなってしまいました。
今後は、マウスピースをはずしても症状が再発しないような、咬み方を指導していく予定です。

002.JPGのサムネール画像のサムネール画像

開口障害により、お口が開かなくなりました。
004.JPG
マニュピレーションにより、お口が開くようになりました。
013.JPG
マウスピースを使用して、正しいあごの位置をキープします。

池田親興さん(野球解説者)51才 男性

月曜日, 3月 28th, 2011

初診時の症状
野球選手時代に体を酷使したため、首、肩、背中など身体いたるところに痛みやコリがあり、特に天気の悪い日などは症状が強く出ていました。

池田親興さん

治療経過
K-7を使用して咬みあわせの検査を行い、顎位置のズレをマウスピースで矯正することにより、徐々に体のバランスが取れてきて、症状もなくなってきました。
今では、マウスピースがないと不安で落ち着かないとまで言われています。

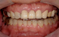
マウスピースが装着されたお口の状態です。違和感も少なく、外見的にも目立ちませんので常時装着することもできます。

Nさん(高校教師)44才 女性

日曜日, 3月 27th, 2011

初診時の症状
10年ほど前から、疲れたときに鼻筋から額にかけて違和感と、ひどい頭痛がありました。

治療経過
K-7を使用して咬みあわせの検査を行い、顎位置のズレを矯正するためにマウスピースを使ってもらうようにしました。
2週間程度で頭痛がかなり軽減し、その後1か月で初めの症状がほとんどなくなってしまいました。
現在1年ほどたちますが、症状はなくなったままで快適に生活されています。